
Our Implant Hybrid restorations are precisely cast into an index made from a preliminary set-up. We want to ensure there is maximum support while maintaining both the aesthetic and structural integrity of the acrylic.
Implant Hybrids
Overdentures are made at Dencraft with the same attention to aesthetics and functionality as our complete dentures. The design depends on the type of attachment and the interocclusal space, but in most cases we recommend a cast internal frame to ensure the strongest possible restoration.
Overdentures





Partial Dentures
The Partial Dentures at Dencraft are meticulously cast and designed for maximum retention with the greatest possible aesthetic consideration.
Dentures
At Dencraft our complete Dentures are fabricated with precise attention to detail in both aesthetics and functionality. Emailed photographs are used at the bench to complete the communication, which is vital in creating a beautiful restoration.

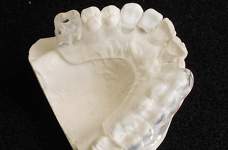
Nightguards
Our Night Guards and occlusal splints are made with high impact crystal clear acrylic. Using the Ivocap system for a perfect fit, the style and design are up to you and your patients – we have a complete understanding of the variety of appliances.

Processed Temporaries
Custom processed bio-temp style provisionals are created with a unique process using a Flexstone Plus model and veneer index, thus eliminating the need for model separator. This method creates an unmatched bond that increases strength and durability. Our temporaries are finished beautifully with a custom composite glaze that mimics natural dentition.



Surgical Guides
Creating a mockup of the final restoration and subsequent surgical guide can be the difference between having an easily designed case and a very complex one. We also make a variety of radiographic stents.





